| © Baldwyn Pictures |
|
Bildgebende Diagnostik
|
|
|
|
 |
|
Röntgenbilder zeigen Veränderungen an den Wirbelkörpern und erniedrigte Bandscheibenräume, jedoch ist das austretende Bandscheibenmaterial auf einer normalen Aufnahme nicht sichtbar.
Die bei der neurologischen Untersuchung erhobenen Befunde lassen in vielen Fällen schon eindeutige Schlüsse über Position und Etage der betroffenen Bandscheibe zu. Das Anordnen einer Schichtaufnahme ist deshalb nicht immer, vor allem aber in folgenden Fällen notwendig:
|
|
|
|
Wann ist eine Schichtaufnahme notwendig?
|
|
1. Bei unklarer Diagnose
2. Bei Therapieresistenz
3. Bei schnell zunehmenden Lähmungen
4. Vor Operationen
|
|
|
|
 |
|
Die heute für die Diagnostik der Diskushernie gebräuchlichen Schichtaufnahmeverfahren sind die Computertomographie CT, und die Magnetresonanztomographie, das MRI.
Beim MRI, auch Kernspintomographie genannt, werden im Gegensatz zur Computertomographie keine Röntgenstrahlen verwendet. Es kann die Wirbelsäule im Querschnitt und zusätzlich auch im Längsschnitt darstellen.
Für Leute mit Platzangst gibts übrigens auch eine offene Anlage.
(Eigentlich wäre Klaustrophobie das richtige Wort, denn Platzangst heisst "Angst vor grossen Plätzen"!) |
|
|
|

|
|
Hier das Bild einer Computertomographie. Der dreieckige Wirbelkanal, sollte sauber abgegrenzt sein.
Führen Sie Ihren Mauszeiger über das Bild um die mediolaterale Hernie zu sehen.
|
|
|
|
 |
|
Die Grösse der Hernie ist jedoch für den Erfolg der Behandlung nicht immer so wichtig, sondern die Lage der Hernie ist oft entscheidend. Drückt eine kleine Hernie gerade beim Austritt aus dem knöchernen Nervenfenster auf den Spinalnerve, so kann dieser nicht ausweichen, und es sind ausgeprägte Lähmungen zu erwarten. Auf der anderen Seite können breitbasige Protrusionen ohne grössere Auswirkungen bleiben.
Bild 1: kleine linkslaterale Hernie Bild 2: breitbasige Protrusion |
|
|
|
 |
|
Bild 1: Normale CT. Bei den Hernien-ähnlichen Aufhellungen handelt es sich um die zwei abgehenden Spinalnerven.
Bild 2: Hier eine Hernie welche fast 1/3 des Wirbelkanals ausfüllt. Sie musste nicht operiert werden!
|
|
|
|
 |
|
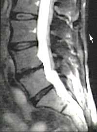
MRI
Prolaps auf der Höhe L4-L5
Beim MRI, auch Kernspintomographie genannt, werden im Gegensatz zum CT keine Röntgenstrahlen verwendet. Es kann die Wirbelsäule mit eventuellen Vorwölbungen der Bandscheiben in den Spinalkanal im Querschnitt und zusätzlich auch im Längsschnitt darstellen. Es ist vor allem in der Darstellung des Nervensystems und der Weichteile, also gerade der Bandscheiben und der Nervenwurzeln, dem CT überlegen.
|
|
|
|
 |
|
Es gibt also eine Vielzahl von Menschen, ohne jegliche Beschwerden, bei welchen man auf einer Schichtaufnahme Bandscheibenprotrusionen auf mehreren Etagen finden würde, die aber stumm, d.h. ohne Auswirkungen bleiben. |
|
|
|
|
|
|